Zdrowa dieta stanowi klucz do sukcesu, zwłaszcza gdy mówimy o zdrowiu zębów dzieci! Wyobraź sobie, że zęby malucha to maleńkie, wrażliwe skarby, które wymagają odpowiedniej opieki. Odpowiednie jedzenie działa jak magiczna tarcza, chroniąca je przed wrogimi bakteriami. Dlatego warto już od najmłodszych lat nauczyć dziecko, że niektóre przekąski stanowią superbohaterów ich jamy ustnej. Unikajmy słodkich napojów, które działają jak mroczni czarodzieje, gotowi zniszczyć szkliwo. Zamiast tego proponujmy wodę – najsmaczniejszy napój w całym królestwie!
- Zdrowa dieta jest kluczowa w ochronie zębów dzieci przed próchnicą.
- Unikaj słodkich napojów, zastępując je wodą niegazowaną.
- Wprowadź zdrowe przekąski, takie jak owoce i warzywa, w zabawny sposób.
- Dbaj o odpowiednie dostarczenie białka i wapnia poprzez jogurty i sery.
- Regularne wizyty u dentysty pomagają w prewencji i edukacji o zdrowiu zębów.
- Fluoryzacja i lakowanie zwiększają odporność zębów na próchnicę.
- Nauka higieny jamy ustnej powinna zaczynać się od najmłodszych lat.
- Motywuj dzieci do dbania o zęby poprzez zabawy i gry edukacyjne.

Co więc dzieci lubią najbardziej? To zagadka – czy brokuły, marchewki, a może orzechy? Niestety, odpowiedź nie jest taka oczywista… Spróbujmy jednak zafascynować je zdrowymi przekąskami w zabawny sposób! Wycinajmy w warzywach kształty ich ulubionych postaci z bajek. Krokieciki z marchewki mogą stać się wielkimi przygodami na talerzu, a sery dostarczą im cennych składników wspierających zdrowie zębów. Pamiętajmy, że każda dobra dieta powinna być wzbogacona o białka i wapń, dlatego nie zapominajmy o jogurtach i serkach, gdyż sprzyjają one budowie mocnego szkliwa!
Dlaczego regularne wizyty u dentysty są ważne?
Marzycie o tym, by wasze dzieci nigdy nie miały problemów z zębami? W takim razie czas na wizytę u dentysty! Regularne wizyty w gabinecie nie służą wyłącznie sprawdzeniu stanu zębów. Stanowią również doskonałą okazję, aby dziecko uświadomiło sobie, że dentysta to nie straszny potwór, lecz guru zdrowego uśmiechu. Gdy dodamy do tego zabiegi takie jak fluoryzacja i lakowanie, możemy poczuć się jak superbohaterowie, zdobywający specjalne moce ochronne dla zębów naszego malucha! Pamiętajcie, stomatolog to wasz sojusznik w walce z próchnicą!
Podsumowując, kluczowymi elementami zdrowych zębów dzieci są zdrowe nawyki żywieniowe, odpowiednia higiena jamy ustnej oraz regularne wizyty u dentysty. Wprowadzając te zasady, inwestujemy w uśmiech, który będzie świecił jak najjaśniejsza gwiazda! Dajmy dzieciom supermoce w walce z próchnicą, a ich uśmiechy będą nie tylko zdrowe, lecz także radosne przez długie lata!
| Element | Opis |
|---|---|
| Zdrowa dieta | Klucz do ochrony zębów dzieci, działająca jak tarcza przeciwko bakteriom. |
| Unikanie słodkich napojów | Słodkie napoje mogą niszczyć szkliwo; zamiast nich, warto podawać wodę. |
| Zdrowe przekąski | Wprowadzenie atrakcyjnych i zdrowych przekąsek, takich jak warzywa, może uczynić jedzenie zabawą. |
| Białka i wapń | Ważne dla budowy mocnego szkliwa; jogurty i sery są dobrym źródłem tych składników. |
| Regularne wizyty u dentysty | Pomagają w prewencji i uświadamiają dzieci, że dentysta jest sojusznikiem w walce z próchnicą. |
| Fluoryzacja i lakowanie | Dodatkowe zabiegi, które zapewniają ochronę zębów. |
| Inwestycja w zdrowie | Wprowadzenie zdrowych nawyków, które przyczynią się do zdrowego uśmiechu dzieci przez długie lata. |
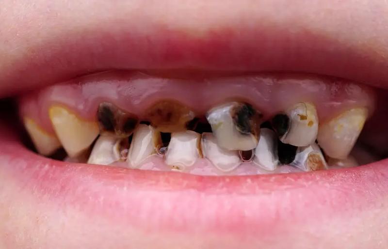
Ciekawostka: Badania pokazują, że dzieci, które regularnie spożywają warzywa i produkty bogate w wapń, mają znacznie mniejsze ryzyko wystąpienia próchnicy w porównaniu do tych, które preferują słodkie przekąski i napoje.
Edukacja o higienie jamy ustnej – jak nauczyć dzieci dbać o zęby?

Edukacja o higienie jamy ustnej stanowi zadanie, które każdy rodzic powinien podjąć jak najszybciej. Doceniamy znaczenie profilaktyki stomatologicznej, zwłaszcza gdy zęby naszych pociech zaczynają się wyrzynać. Zastanówmy się – kto z nas chce usłyszeć, że jego dziecko ma próchnicę, zanim jeszcze zdąży powiedzieć „masa”?! Już od pierwszych dni życia warto wprowadzać nawyki higieniczne, nawet gdy mleczaków jeszcze nie widać. Nauczmy więc się przemywać dziąsła delikatną gazą, co nie tylko rozwija nawyki, ale także uczy, że higiena zębów jest niezwykle istotna.
Gdy na horyzoncie pojawiają się pierwsze ząbki, warto sięgnąć po szczoteczkę i odpowiednią pastę. Pamiętajcie, że produkty muszą być dostosowane do wieku malucha. Główka szczoteczki powinna być mała, aby dotrzeć do najciemniejszych zakamarków, a pasta? Oczywiście, należy wybierać dziecięcą, bez drobinek ścierających – w końcu chodzi o malucha, nie o Cezara! I obowiązkowo, dwa razy dziennie po dwie minuty! Każda minuta to krok ku krainie zdrowych zębów!
Jak nauczyć dziecko dbać o zęby?
Motywacja, drodzy rodzice, okazuje się kluczowa! Stwórzcie z mycia zębów małą imprezę. Może jako tło wykorzystacie ulubioną piosenkę na czas czyszczenia lub zorganizujecie rywalizację, kto dłużej wytrzyma z otwartą buzią? Pamiętajcie, że to, co dla nas wydaje się rutyną, dla dzieci często bywa nudnym obowiązkiem. Możecie także użyć past barwiących, które ukażą niedomyte miejsca – to edukacyjne i jednocześnie zabawne! Dzieci uczą się przez naśladowanie, dlatego im więcej rodzice dbają o swoje zęby, tym większa szansa, że same naśladowanie także wdrożą!
Nie zapominajcie też o diecie, ponieważ dbałość o zęby to nie tylko szczotkowanie, ale również to, co podajemy na talerz. Poniżej przedstawiam kilka wskazówek dotyczących zdrowych nawyków żywieniowych:
- Ograniczcie spożycie słodyczy, które sprzyjają próchnicy.
- Wprowadźcie zdrowe przekąski, jak owoce i warzywa.
- Podawajcie wodę niegazowaną jako najlepszy napój dla dzieci.
- Unikajcie kolorowych napojów, które mogą przyciągać próchnicę.
Regularne wizyty u dentisty także odgrywają ważną rolę w edukacyjnym tournee po świecie zdrowych zębów. W końcu, im wcześniej zaczniemy, tym lepiej dla nas i dla przyszłości uśmiechu naszych dzieci!
Znaczenie regularnych wizyt u dentysty – profilaktyka na pierwszym miejscu
Regularne wizyty u dentysty stanowią klucz do zdrowego uśmiechu, szczególnie w przypadku dzieci. Już od najmłodszych lat warto zadbać o to, aby maluchy oswoiły się z wizytami w gabinecie stomatologicznym. Dlaczego to takie ważne? Ponieważ im wcześniej dzieci nauczą się, że dentysta jest przyjacielem, tym łatwiej będą podejmować wyzwania związane z leczeniem zębów w przyszłości. W końcu nikt nie pragnie w dorosłym życiu doświadczać wrażenia, że wizyta u dentysty to wyrok – zdecydowanie lepiej, aby traktowano to jako normalny element dbałości o zdrowie! Najlepiej wprowadzać ten nawyk od momentu, gdy pojawią się pierwsze ząbki.
Nie da się ukryć, że wizyty kontrolne u dentysty przynoszą wiele korzyści. To właśnie dzięki nim można szybko takich wizyt można szybko выявлять pierwsze objawy próchnicy, zanim staną się poważnym problemem. Higienizacja zębów, czyli profesjonalne czyszczenie, skutecznie usuwa nagromadzone bakterie i osady, które trudno usunąć samodzielnie w domu. Dodatkowo, podczas wizyty można skorzystać z zabiegów takich jak fluoryzacja czy lakowanie – te drobne kroki znacząco zwiększają odporność zębów na próchnicę!
Dlaczego warto wybrać się na wizytę do dentysty?
Regularne odwiedzanie dentysty to również doskonała okazja do edukacji! Dentysta ma szansę wytłumaczyć dzieciom, dlaczego tak istotne jest dbanie o zęby oraz w jaki sposób to robić. Dzięki temu dzieci uczą się, że odpowiednia higiena jamy ustnej stanowi kluczowy element ich zdrowia i może być przyjemnością, a nie przykrym obowiązkiem. Jak wiadomo, zdrowe nawyki kształtują się od najmłodszych lat, dlatego warto pamiętać, że w gabinecie stomatologicznym można przyswoić wiele istotnych informacji.
Nie zwlekaj zatem – zarezerwuj wizytę u dentysty i zadbaj o to, aby zdrowe nawyki dotyczące higieny jamy ustnej towarzyszyły Twoim dzieciom przez całe życie. Zęby mleczne, mimo że nie są wieczne, odgrywają ogromną rolę w prawidłowym rozwoju stałych „królewskich” zębów. Regularne wizyty u stomatologa sprawią, że zdrowe, białe uśmiechy staną się Waszą codziennością!
Zabawy i gry związane z dbaniem o zęby – nauka przez zabawę
W dzisiejszych czasach dbanie o zęby nie stanowi już nudnego obowiązku; zamiast tego zamienia się w świetną zabawę! W naszym codziennym życiu można wykorzystać mnóstwo gier i zabaw, które w naturalny sposób wplatają naukę o higienie jamy ustnej w życie malucha. Wystarczy jedynie odrobina kreatywności i chęci, aby mycie zębów przekształciło się w ekscytujące wyzwanie. Na przykład, rodzice mogą zorganizować „wyścig szczoteczek”, w którym dzieci rywalizują, kto szybciej umyje zęby po sygnale. Dodatkowo, stworzenie własnych piosenek o myciu zębów zapewni nie tylko świetną zabawę, ale również pomoże maluchom zapamiętać kluczowe aspekty dbania o zęby.
Zabawy edukacyjne i ich wpływ na nawyki

Warto również wprowadzić do regularnej rutyny różnorodne zabawy angażujące dzieci w naukę o rzeczach, które mają dla nich znaczenie. Na przykład, stworzenie specjalnej „karty higieny”, na której dzieci mogą zaznaczać, czy umyły zęby danego dnia, stanowi doskonały sposób na monitorowanie postępów oraz promowanie odpowiedzialności. Kiedy zaprosimy dzieci do wspólnego tworzenia „superbohaterów zębów”, którzy walczą z próchnicą, nauczymy je jednocześnie, jak dbanie o zęby czyni je własnymi bohaterami!
- Stworzenie „karty higieny” do zaznaczania umytych zębów
- Organizacja zabawy w „superbohaterów zębów”
- Wprowadzenie rytuału mycia zębów jako rodzinnej aktywności
- Używanie piosenek do nauki o higienie jamy ustnej
Zabiegi w gabinecie stomatologicznym na wesoło
Wizyty u dentysty, które często budzą niepokój, również mogą stać się mniej straszne. Świetnym pomysłem wydaje się zorganizowanie „teatru dentystycznego”, w którym rodzice odgrywają rolę stomatologów, a dzieci wcielają się w pacjentów. Taki sposób zabawy pozwoli im zrozumieć, jak wygląda wizyta u dentysty, oraz uświadomić, że dentysta nie jest wrogiem, lecz osobą, która pragnie pomóc im utrzymać ich ząbki w doskonałej formie. Wprowadzenie elementów zabawy podczas wizyt w gabinecie dentystycznym, takich jak kolorowe naklejki czy nagrody za odwagę, dodatkowo pomoże maluchom zbudować pozytywny stosunek do zdrowia jamy ustnej.
Wspólne uczestnictwo dzieci w aktywnościach związanych z higieną jamy ustnej przynosi wiele korzyści, zarówno dla ich zdrowia, jak i dla więzi rodzinnych. Gdy dorośli zaangażują się w zabawy z dziećmi, będą dostarczać im dobrego przykładu, co okazuje się kluczowe w kształtowaniu zdrowych nawyków u najmłodszych. A kto wie, może na koniec dnia wspólne mycie zębów stanie się ulubionym rodzinnym rytuałem? Gratulacje dla każdego zaangażowanego superbohatera!
Pytania i odpowiedzi
Jak zdrowa dieta wpływa na zęby dzieci?
Zdrowa dieta stanowi klucz do ochrony zębów dzieci, chroniąc je przed bakteriami. Wprowadzenie zdrowych przekąsek, takich jak warzywa, sprawia, że dzieci uczą się, jak dbać o swoje zęby poprzez dobre nawyki żywieniowe.
Dlaczego warto unikać słodkich napojów?
Słodkie napoje mogą niszczyć szkliwo, co zwiększa ryzyko próchnicy. Zamiast nich warto podawać wodę, która jest zdrowszą alternatywą i wspiera zdrowie jamy ustnej dzieci.
Jakie są korzyści z regularnych wizyt u dentysty dla dzieci?
Regularne wizyty u dentysty uświadamiają dzieci, że dentysta to sojusznik w dbaniu o zdrowie zębów. Dzięki tym wizytom można szybko wykrywać objawy próchnicy i skorzystać z zabiegów, które zwiększają odporność zębów.
Jak rodzice mogą motywować dzieci do dbania o zęby?
Rodzice mogą uczynić mycie zębów zabawnym doświadczeniem, organizując różne gry i rywalizacje. Wykorzystywanie piosenek czy past barwiących może dodatkowo zaangażować dzieci w naukę o higienie jamy ustnej.
Jakie znaczenie ma edukacja o higienie jamy ustnej dla dzieci?
Edukacja o higienie jamy ustnej jest kluczowa, aby dzieci uświadomiły sobie, jak dbać o swoje zęby od najmłodszych lat. Wprowadzanie nawyków higienicznych, takich jak mycie zębów, jest niezbędne dla ich przyszłego zdrowia jamy ustnej.
